Complete Dental Reconstruction - Jacksonville, FL

The experts in smile makeovers

patient smiling after complete dental restoration

Big or small, we're here for you

Do You Hide Your Smile?

Do you find yourself rarely smiling? When you laugh, do you do your best not to show your teeth? When someone pulls out a camera, do you make sure your lips are closed and your teeth aren’t showing?

If you answered yes, a smile makeover in Jacksonville, FL may be just what you need to show off your smile again. A smile analysis by our highly trained prosthodontists is the best start in creating your ideal look. As a team of highly-skilled prosthodontists, we are the experts in redesigning and restoring your smile. We consider the function, health, and aesthetics of each tooth, as well as your smile as a whole. Together, we can design a custom treatment plan and get started on your new, beautiful, fully functional smile.

dental patient hiding smile
dental restoration patient smiling

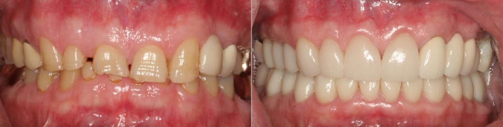
Complete Dental Reconstruction in Jacksonville, FL

Unattractive smiles can cause low self-esteem and missed social opportunities. Your smile is one of the first things others notice about you, so you should feel confident in it. A smile makeover can greatly influence the quality of your interactions with others and change the way you feel about yourself.

dr rodriguez

We Can Help

At the Jacksonville Center for Prosthodontics and Implant Dentistry, a smile analysis begins with a comprehensive assessment of your concerns about your smile. Our team will then complete a comprehensive evaluation which will include taking digital photographs of your face and smile. Only after a thorough and professional evaluation will treatment options be discussed.

Get Started Today

There are numerous easy-to-see issues that affect the appearance of your smile such as the size, color, position and condition of the teeth. There are also less obvious factors that contribute to an attractive smile such as the symmetry, angles and harmony among the various elements that may need to be corrected to have that perfect smile you’ve always wanted. Schedule an appointment to find out what options will make your smile a regular occurrence.

dental patient smiling after procedure

Our Patients
Tell The Story Best

See the difference a specialist can make in your smile

Skip to content