The Jacksonville Center for Prosthodontics and Implant Dentistry has over 30 years of experience working with patients to achieve the dental results that they desire. From small improvements such as porcelain veneers complete dental makeovers, we are experienced with all facets of dentistry and can bring you the smile and dentition that you desire.







Due to a forceful bite, Tom had fractured his temporary bridge several times. The repairs became excessively expensive and time-consuming until Tom’s dentist referred him to a specialist, The Jacksonville Center for Prosthodontics and Implant Dentistry was able to provide him with the final solution of a permanent zirconium bridge and Tom’s bridge hasn’t fractured since!
Currently a new patient of The Jacksonville Center. I was referred by two Jacksonville dentists who I am being treated by. Both gave very good recommendations for The Jacksonville Center and their known abilities working on patients with full dental implants. I am pleasantly satisfied after my initial consultation and two appointments to the professionalism of The Jacksonville Center staff. From the front desk staff to his dental assistants they are pleasant, accommodating and a delight to interact with. His office has a welcoming atmosphere putting any new patient at ease. I highly recommend The Jacksonville Center to anyone in the greater Jacksonville, Fl. community to this remarkable professional.
Tom.


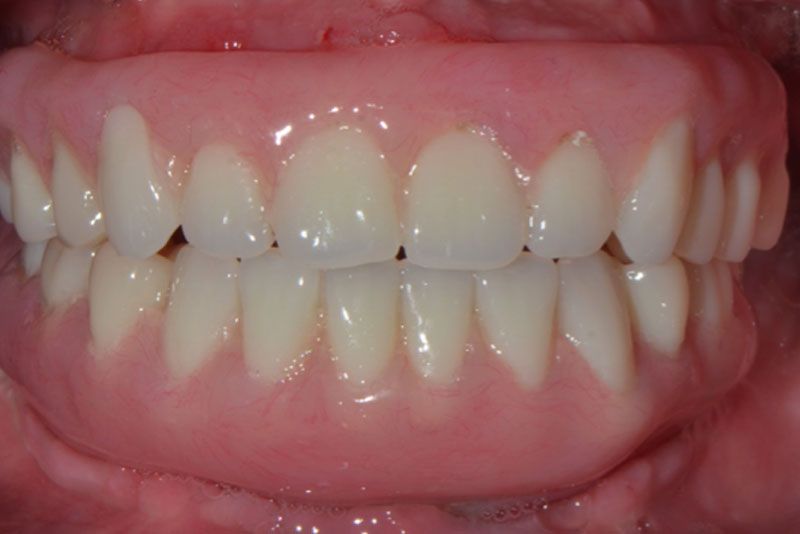
This smile transformation required orthodontic treatment and implant placement before the final restorations were fabricated. Porcelain veneers, crowns, and implant crowns were utilized to make this smile beautiful.




This smile transformation required orthodontic treatment and implant placement before the final restorations were fabricated. Porcelain veneers, crowns, and implant crowns were utilized to make this smile beautiful.


This smile transformation required orthodontic treatment and implant placement before the final restorations were fabricated. Porcelain veneers, crowns, and implant crowns were utilized to make this smile beautiful.











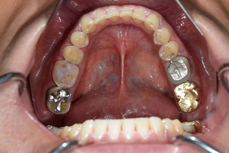
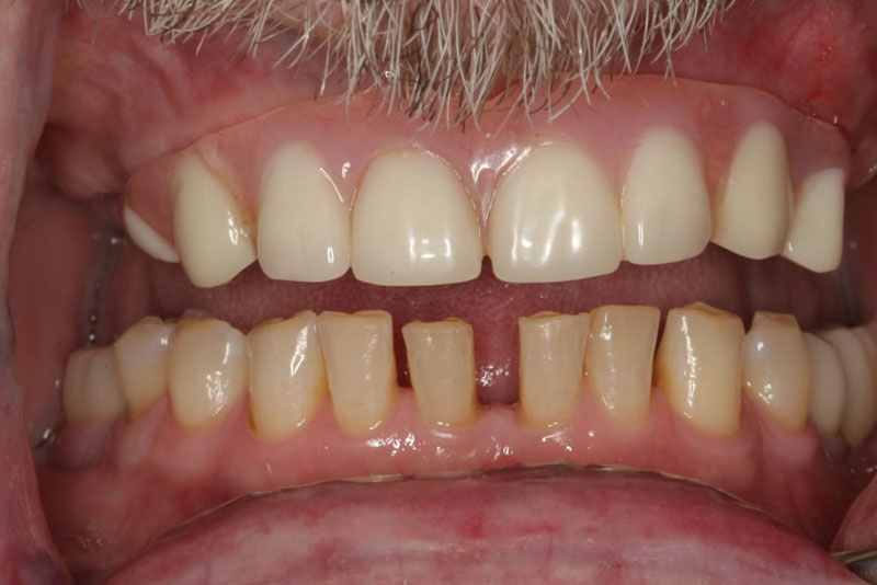
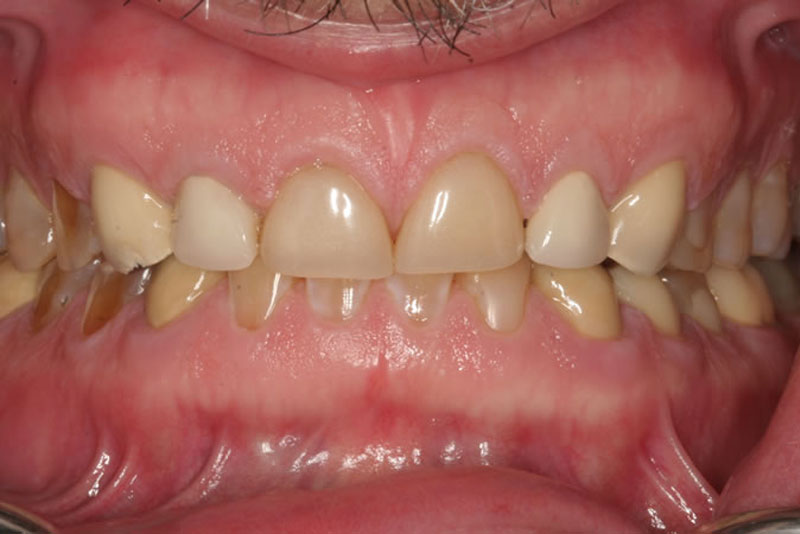
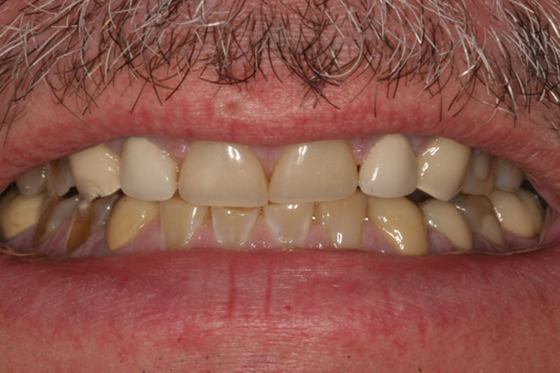
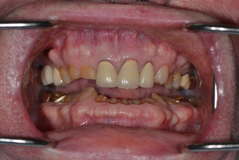
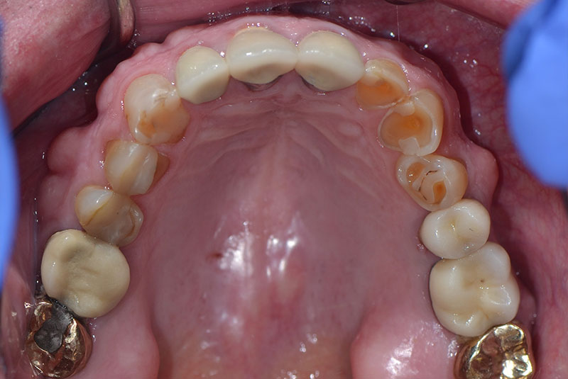
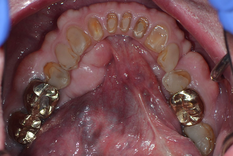
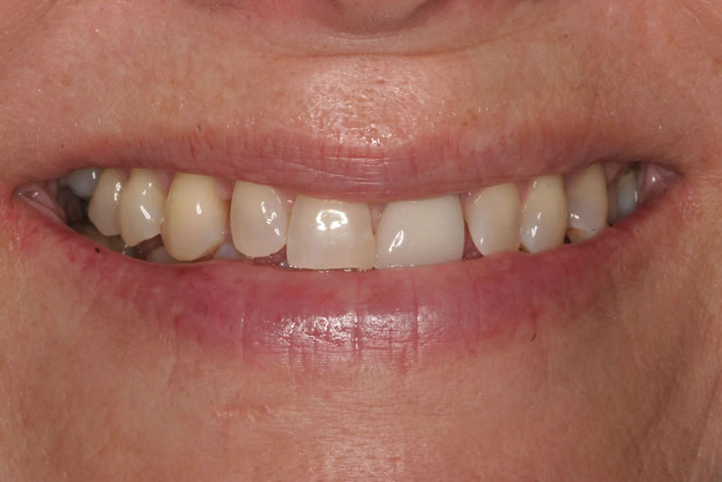
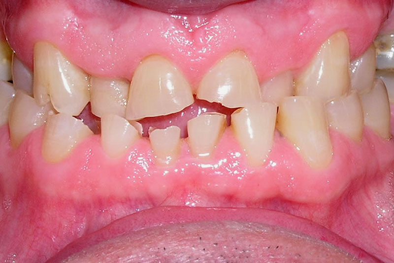
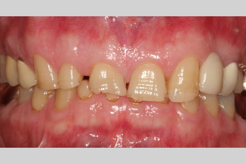
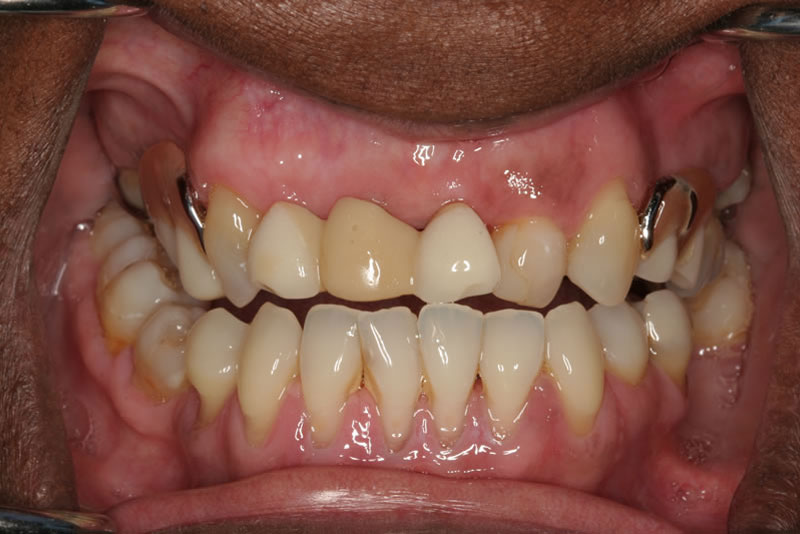
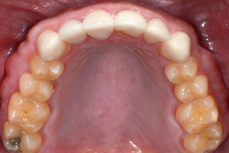
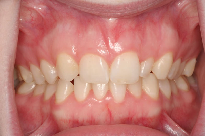
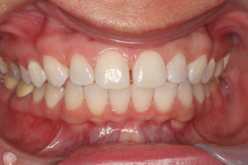
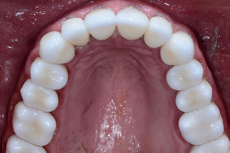
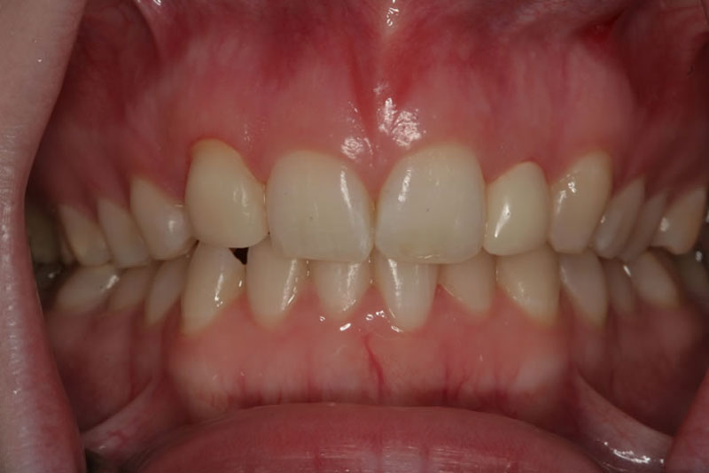
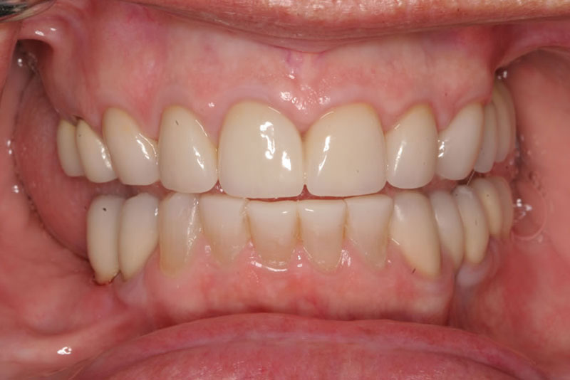
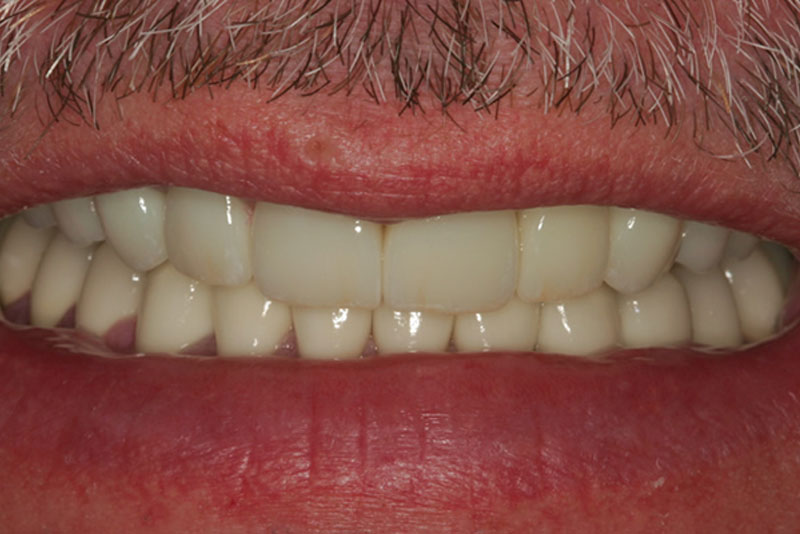
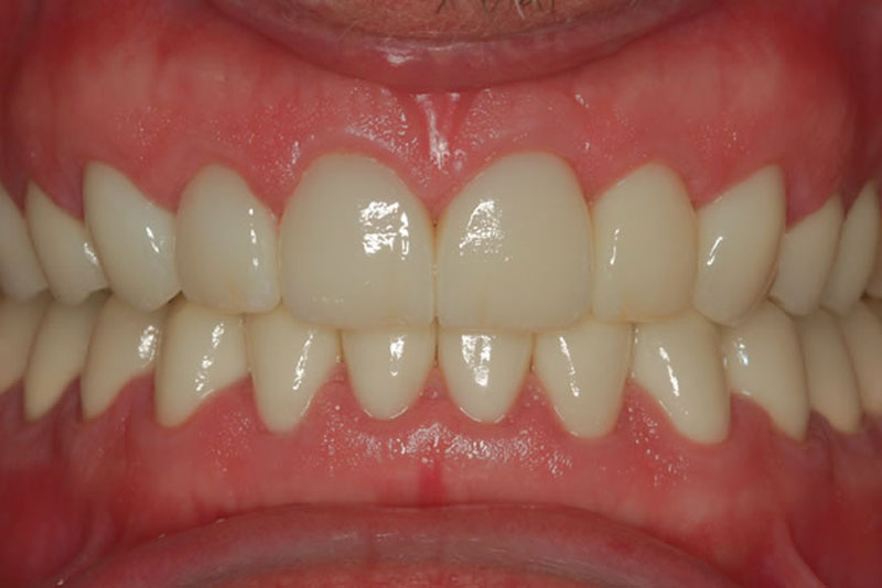
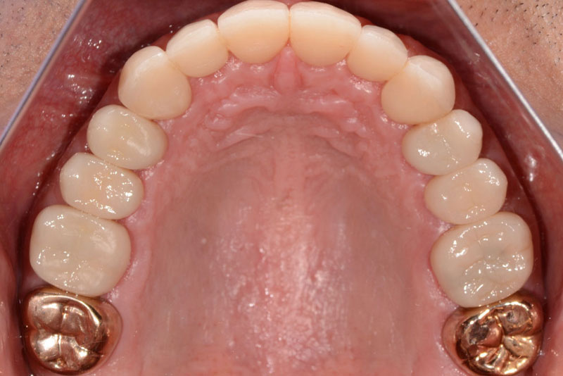
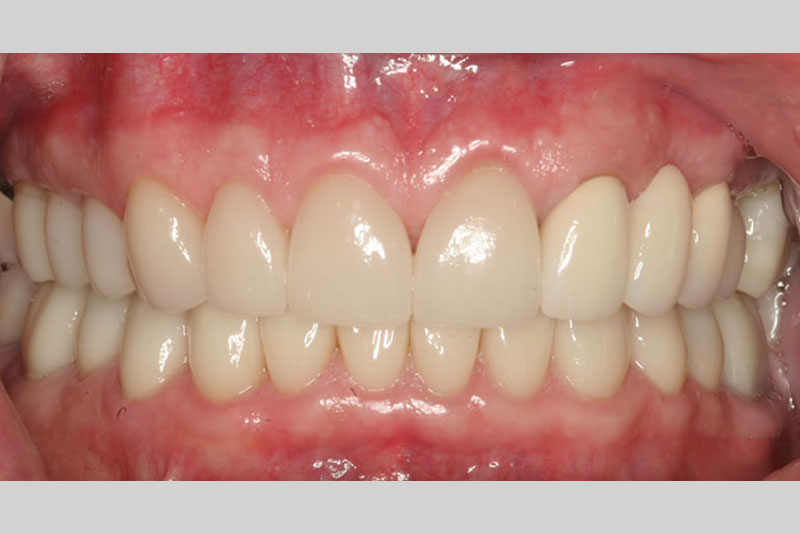
This patient had worn down his teeth from years of clenching and grinding. Treatment required multiple crowns on all the front teeth and most of the back teeth. An occlusal guard was also made to prevent further damage.






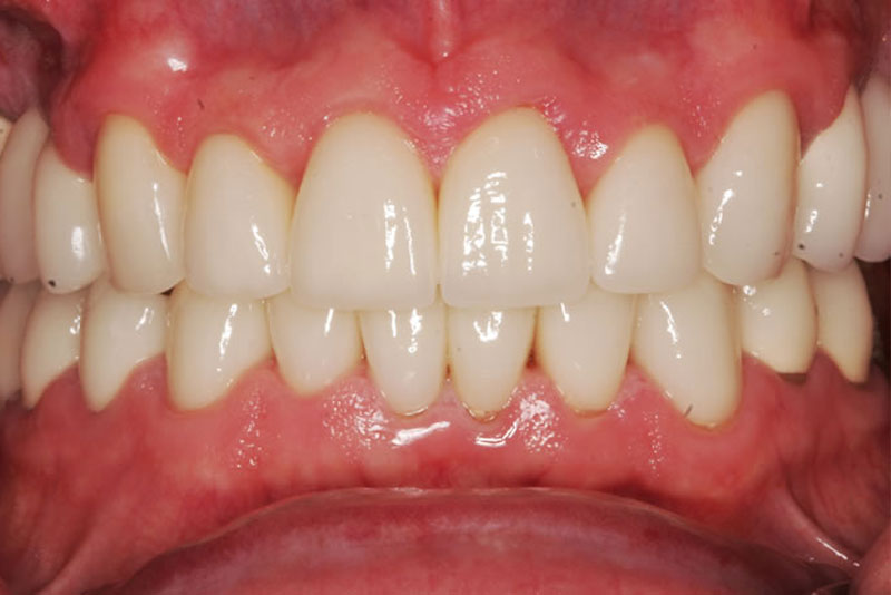
This patient had been dissatisfied with previous dental treatment and wanted alternative treatment options that would both satisfy her needs and avoid a complete denture. The Jacksonville Center for Prosthodontics and Implant Dentistry was able to meet the patient’s needs with an implant supported fixed prosthesis.
After a very bad experience with a dentist who really messed up my mouth, The Jacksonville Center was able to put a smile back on my face. Although I was extremely nervous after the horror I had with my previous dentist, The Jacksonville Center quickly put me at ease. He’s never hurt me like the ‘other guy’ did. And, he is very thorough, exact, and professional in every aspect. His staff is very nice, too. My insurance claims are always filed immediately and they keep on top with my appointments. I highly recommend The Jacksonville Center for Prosthodontics and Implant Dentistry to my friends and family!
Bonnie


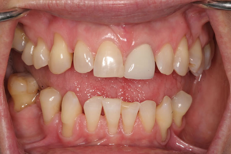
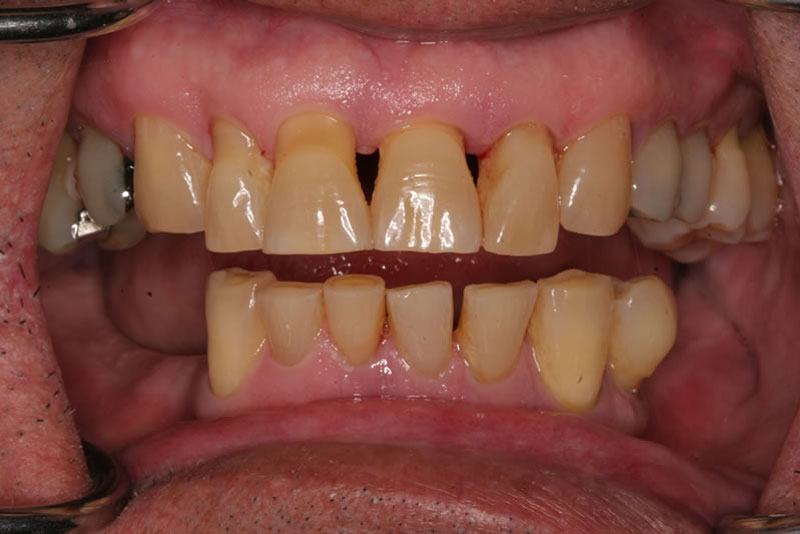
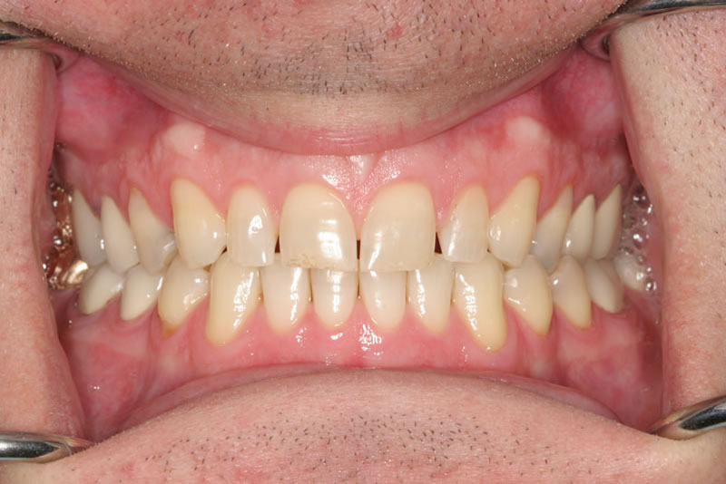
After neglecting his oral health in his youth, this patient’s teeth had become severely stained, worn down, and malpositioned. He wanted a nice healthy smile. After orthodontic treatment and crowns, he has the smile he always wanted.



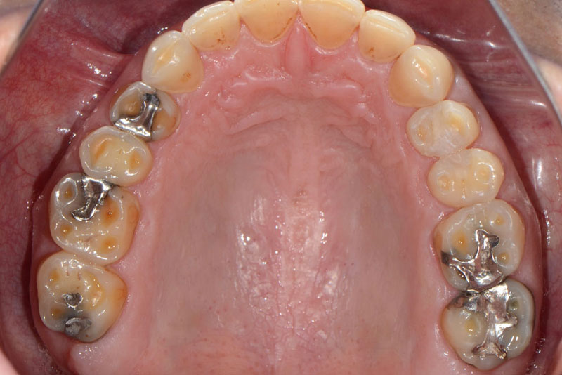
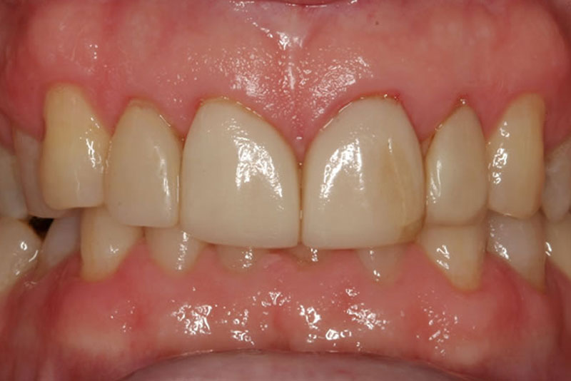
This patient came to The Jacksonville Center for Prosthodontics and Implant Dentistry in the hope of getting his severely worn teeth back to normal. His smile was successfully restored with ceramic crowns and periodontal therapy.
I am a 67 year old male, who had severely worn teeth. I had put off the necessary work, not knowing how extensive or limited the correction might be, and the durability and comfort of the results. My first meeting at The Jacksonville Center, I was convinced all of the staff were extremely experienced and knowledgeable. They felt we could get good results, and presented me with a plan. Over the next few months, each step went just as they had indicated, with the final results far exceeding my hopes, both in presentation and comfort. On an ABC scale, I would rate the results A+, in every category.
Duane


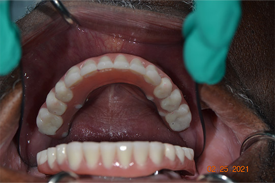
This patient had hopeless natural teeth but did not want traditional dentures. An implant supported fixed bridge was fabricated instead.


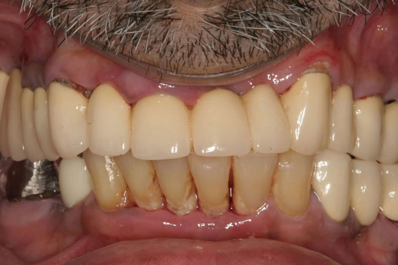
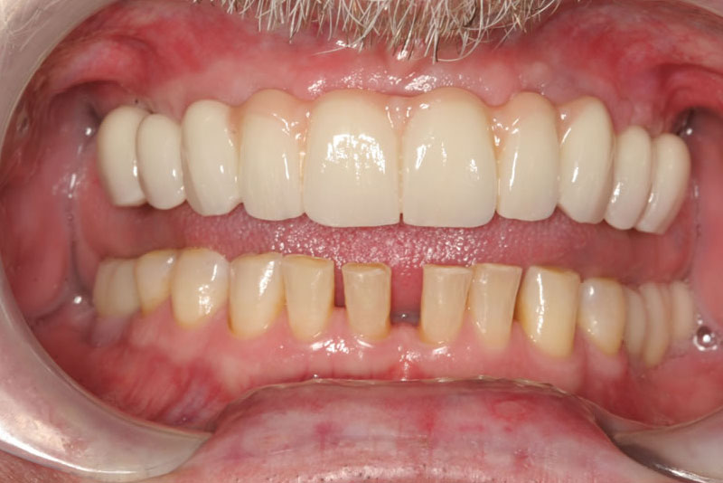
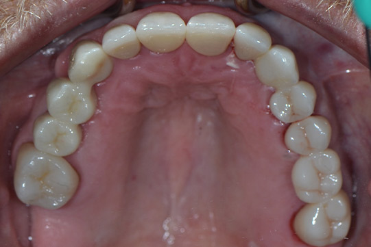
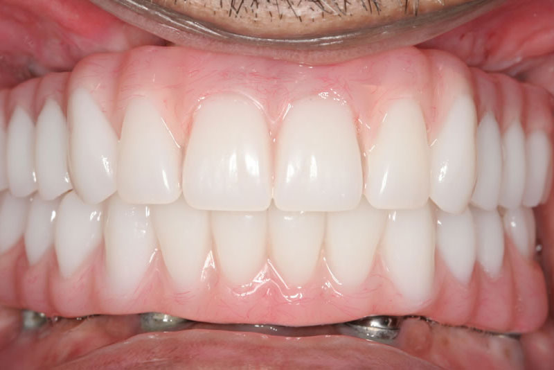
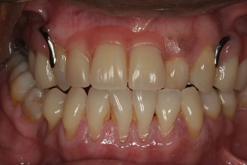
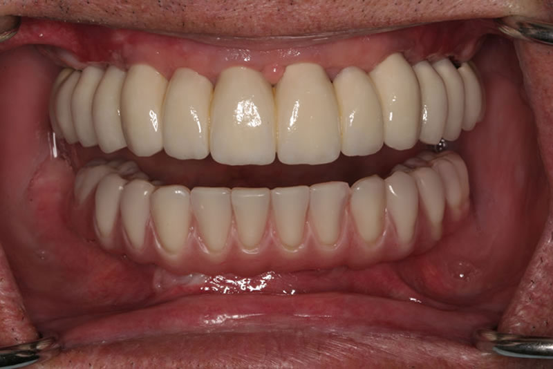
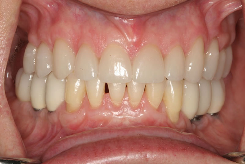
Smile Makeover for a patient who had periodontial disease and failing dention. Teeth were removed and temporarily replaced with conventional dentures. After bone grafting and implants were placed permanent teeth were fabricated. Smile was restored with a fixed porcelain fused to metal bridge utilizing 8 implants on the top and a lower fixed hybrid (acrylic denture teeth on a custom titanium bar) on 8 implants.
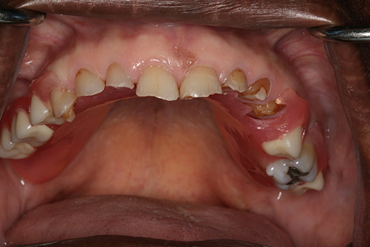
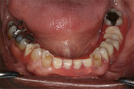
This patient came to our office because of the compromised condition of her teeth. An immediate denture was fabricated to replace the maxillary teeth. The mandibular anterior (lower front) teeth were restored and a mandibular partial denture was fabricated to replace the posterior (back) teeth.




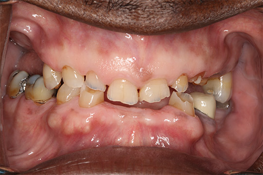
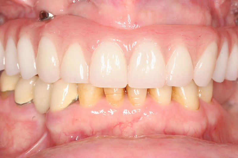
Patient had missing teeth, failing dentition and unsatisfactory aesthetics. After bone grafting, implants were placed to replace missing teeth. The appearance of the front teeth were greatly improved with porcelain crowns (caps) on the top and composite restorations on the lower teeth. Porcelain fused to metal crowns and bridge completed the reconstruction and smile transformation.




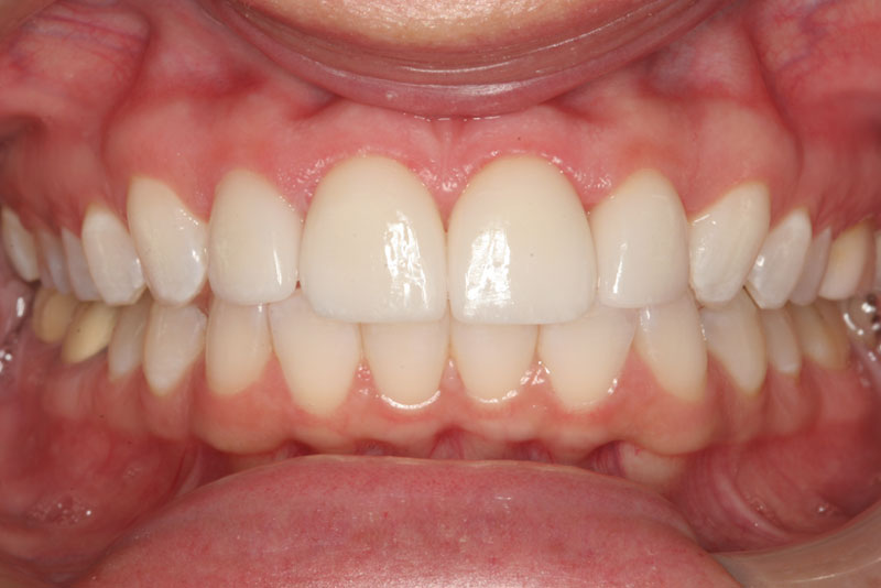
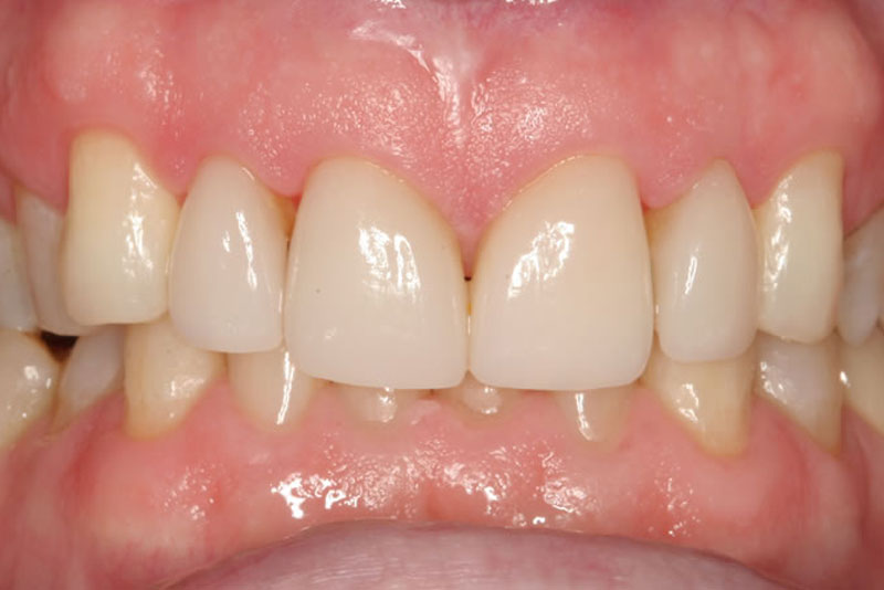
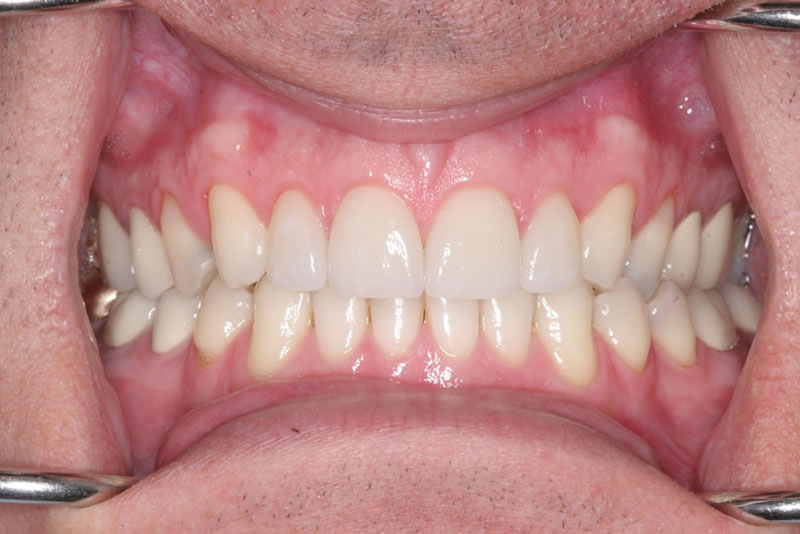
This patient wanted to improve the appearance of his smile by closing the spaces between the front teeth and whitening the yellow discoloration. Closing the spaces between teeth is a common procedure in cosmetic dentistry. The use of veneers eliminated the need for this patient to wear braces. The bleaching process dramatically improved the color of his teeth and smile. It is very cost effective and usually produces great results.
I have used The Jacksonville Center for Prosthodontics and Implant Dentistry for 8 year for both routine dental work and for some veneers on my front 4 top teeth. The Jacksonville Center is stellar. Not only do they take great care of me but every bit of work they’ve done has been very high quality. The crowns they’ve done when needed are very life-like whereas I’ve had other dentists place on rather nebulous smooth covers. The dental team there is informative, patient, and very skilled. I strongly recommend The Jacksonville Center for Prosthodontics and Implant Dentistry to anyone who needs a dentist or would like to upgrade to a better one!
Tag


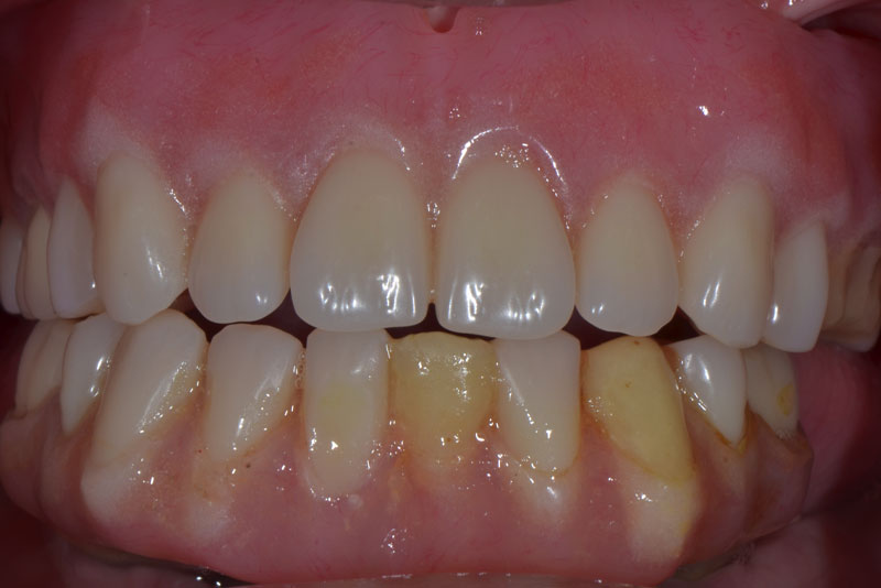
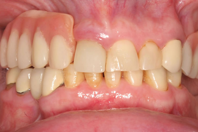
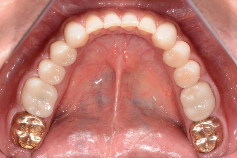
This patient had previously underwent extensive orthognathic surgery and orthodontic treatment. She had missing teeth, unsatisfactory aesthetics and compromised chewing ability. The appearance of her front teeth was improved with porcelain crowns. Three missing teeth were replaced with implant crowns. One tooth was replaced with a conventional porcelain fused to metal bridge. Back teeth were replaced with porcelain fused to metal crowns to complete the full mouth reconstruction.



An overall A+ experience.
I had an excellent experience with The Jacksonville Center for Prosthodontics and Implant Dentistry and I recommend them to anyone with dental needs. Thanks to the team at The Jacksonville Center, my smile now makes me feel confident rather than embarrassed. The office personnel are professional and made me feel comfortable. The front desk receptionist Lindsey was especially helpful, fitting me into the schedule as soon as she could!
Sharon


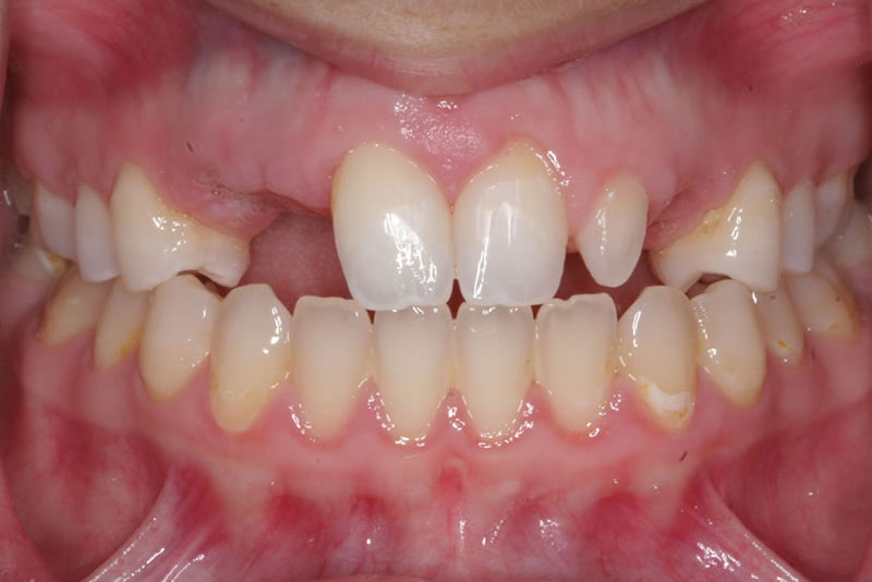
This is the case of young high school student with a congenitally missing tooth and a peg lateral. Her missing tooth was treated with an implant and veneer. Her peg lateral was treated with a crown- a simpler alternative to orthodontic treatment and an implant supported crown.
Absolutely in love with the work The Jacksonville Center for Prosthodontics and Implant Dentistry did for me! I feel very confident in my smile now! Highly recommended!
Kaylie


This patient developed spaces between her teeth as a young adult and wanted to know her options apart from orthodontic treatment. Her spacing was closed with veneers on her four front, upper teeth, giving her a great smile.
The Jacksonville Center for Prosthodontics and Implant Dentistry did an amazing job! He gave me a beautiful new confident smile! I appreciate his artistry and that he strived to achieve the exact results I wanted. Office staff is very nice and helpful too. Thank you to the entire team at The Jacksonville Center for Prosthodontics and Implant Dentistry! I can’t stop smiling!!!
Jennifer

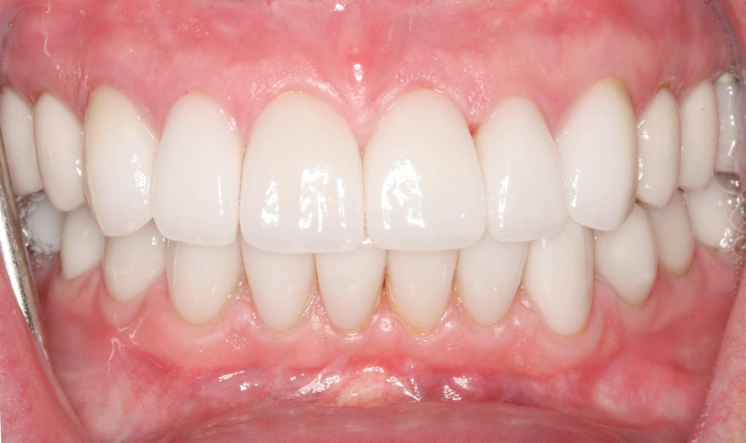
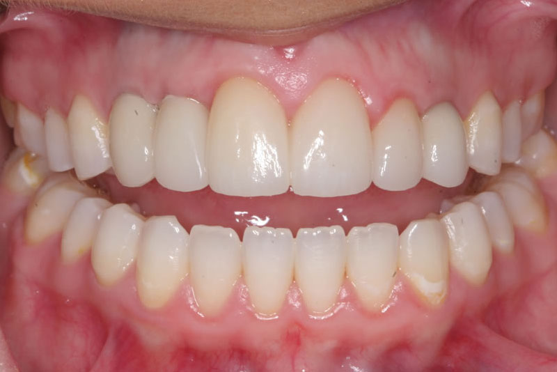
This patient had completed orthodontic treatment but was dissatisfied with her resulting smile. Desiring something more aesthetically pleasing, she was treated with bleaching and a combination of crowns and veneers for increase in the size and length of her teeth to obtain a dramatic improvement.
Everything was 100% AWESOME. I highly recommend The Jacksonville Center for Prosthodontics and Implant Dentistry. He made me feel completely comfortable during my treatment and I smile all the time now!
Shirley
Address:
6855 Belfort Oaks Place
Jacksonville, FL 32216
Current Patient:
(904) 281-0658
Office Hours:
Mon-Wed : 8:00am – 5:00pm
Thurs : 7:00am – 11:00am
Fri : 8:00am – 5:00pm