Dental implants permanently replace missing teeth.
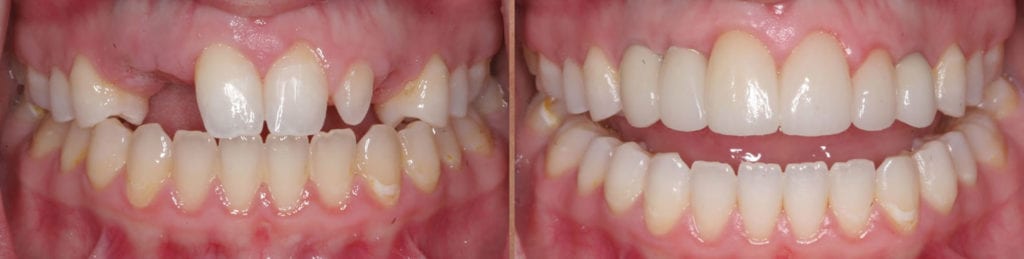
Millions of Americans experience tooth loss—often due to tooth decay, gum disease or injury. For many years, the only treatment options available for people with missing teeth were bridges and dentures. Today, dental implants are a highly recommended, modern solution for many. In most cases, anyone healthy enough to undergo a routine dental extraction or oral surgery can consider dental implants. Implants are a permanent option for missing teeth and provide a host of benefits not offered by temporary solutions.
It is a small, screw-like cylinder (made of titanium) that replaces the root portion of the missing tooth. It’s placed in the bone of the jaw and serves as an anchor to support artificial tooth replacement. When missing teeth are replaced with a restoration that will last a lifetime, it’s very important that implants are placed correctly. The Jacksonville Center for Prosthodontics and Implant Dentistry is one of North Florida’s leading experts in the placement of dental implants and also offers sedation dentistry for enhanced comfort, if you desire. To answer any further questions you may have, please schedule your implant consultation today.
Crown
Abutment
Implant Post


Titanium dental implants in Jacksonville, FL look and feel like your own teeth. Because they fuse with bone, they become permanent and offer the same health benefits as your natural teeth. This also means your teeth will not slip and cause speech difficulties or trouble eating certain foods.
Dental implants do not require reducing other teeth (as a bridge will) and—because more of your teeth are left untouched and you can floss between your implants—you will improve your outlook for long-term oral health. This permanent tooth replacement eliminates the inconvenience (and potential embarrassment) of removing (or having loose) dentures as well as eliminate the use of adhesives or any cleaning regimens.
Dental implants offer a secure hold with a success rate of up to 98% and with the proper care, can last a lifetime. Most individuals who have received an implant say that there was very little discomfort involved with the procedure and any post-implant soreness they experienced was able to be treated with over-the-counter pain medication.
Our team at the Jacksonville Center for Prosthodontics and Implant Dentistry understands that patients might have several questions before visiting our office. Below are questions that patients have asked frequently over the years. If you have a question that is not answered here, please call today so we can answer your questions and schedule you for an exam and consultation.
Prosthodontics is a higher level of dental care than general dentistry and is the ONLY dental specialty recognized by the American Dental Association devoted to restoring and replacing teeth. It requires higher standards, longer, more intense training, and rigorous, continuing education to be a prosthodontist. Prosthodontics offer more skilled, customized and expert dental care by undergoing three additional years of training beyond the four years of dental school. They specialize in the restoration and replacement of missing teeth and are THE specialists for veneers, crowns, bridges, dentures, complex reconstructions and dental implants.
With over 30 years of experience, the Jacksonville Center for Prosthodontics and Implant Dentistry stays on the leading edge of Prosthodontics with ongoing education, training and certification to expand our technical know-how. As certified prosthodontists who provide restorative care for patients in Northeast Florida, Dr. Rodriguez uses the most precise, advanced tools to ensure the highest quality of cosmetic/aesthetic dental care for their patients who need to have their smiles restored through the replacement of one or more teeth.
The Jacksonville Center for Prosthodontics and Implant Dentistry is one of only a few dentists in Florida using the NobelProcera System for designing, evaluating and creating dental implant restorations. This leading-edge technology uses powerful computer-aided design and manufacturing systems to create anatomically precise, three-dimensional images of your teeth and ultimately your ideal dental restorations. With this system, you can be assured that your dental implant restoration will provide exceptional fit and function, and most of all, look natural and beautiful. This fixed solution eliminates the need for complete dentures or fussing with removable partials and they provide excellent chewing ability.
The Jacksonville Center for Prosthodontics and Implant Dentistry is also delighted to be able to offer their patients the convenience of full-service, highly professional dental care. From digital x-rays to cleaning to whitening, Dr. Rodriguez, and his caring staff are equipped to offer the full range of dental care. So, whether you need full arch or front tooth implants, reconstructive dentistry, bridges, crowns or dentures – or whether you want your teeth to be whitened, to have fluoride treatments or you are interested in having your smile analyzed or need relief from sleep apnea, Dr. Rodriguez is an experienced, compassionate professional who can service all your dental health needs.
Whether it is one missing tooth or many missing teeth, this practice offers fixed, natural looking dental implants that are a great tooth restoration solution. The dental implants are made of biocompatible titanium posts and the dentist attaches custom made dental crowns, dental bridges, dentures, or fixed bridges to the implant.
The placement of All-on-4 Dental Implants begins with an examination of your mouth to determine the best, individualized treatment plan for you. Biocompatible titanium is used for your full mouth dental implants because the human body does not reject it. The biocompatible titanium dental implant will then be placed directly into your jawbone.
The first step to getting dental implants is the consultation where we learn your smile goals and expectations. We use advanced technology to look at your mouth. The next step is the surgery that may include bone grafting or tooth extractions, along with the dental implant placement. The final step is the restoration!
All-on-4 Dental Implants are a low cost, minimally invasive, and cost effective solution for those who are missing teeth. With All-on-4 Dental Implants, patients’ smiles and the functionality of their mouth will be restored. At our dental practice, you can leave the office with a new set of teeth the day of the surgery.
You should come to Jacksonville Center For Prosthodontics & Implant Dentistry for your dental implants because our highly skilled team is consistently aiming to perfect minimally invasive techniques for more precise and comfortable care. Along with our advanced technology and sedation dentistry, patients will receive the best treatment.
We never want cost to be a barrier to your treatment. We will work with you to develop a payment plan or flexible financing options that makes your care affordable to you. Click here to learn more about affordability, and give yourself the gift of a beautiful, functional smile.
Address:
6855 Belfort Oaks Place
Jacksonville, FL 32216
Current Patient:
(904) 281-0658
Office Hours:
Mon-Wed : 8:00am – 5:00pm
Thurs : 7:00am – 11:00am
Fri : 8:00am – 5:00pm